咬合再建

健康を維持し人生を豊かにするためには、食生活を充実させることがとても大切です。
ところが噛み合わせる歯が残り少なくなると如何でしょう。
自分の歯でしっかり咀嚼する事が出来なくなってきます。このような状態を放置すると、徐々に歯が移動して上下の顎もずれ、噛み合わせが崩壊してます。こうなると、歯のないところに部分入れ歯やブリッジを入れても上手く食べることはできなくなります。
上下の歯の噛み合わせを咬合と言いますが、まさに咬合が崩壊した状態と言えます。
当院では、このような患者様が多く来院してきます。治療にあたっては、噛み合わせを再構築する咬合再建が必要です。
残された歯で出来るだけ美味しく食事をしたいとお考えの方に、少しでもお役に立てれは幸いと存じます。
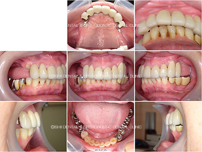
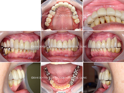
上の奥歯が無くなり部分入れ歯を作ったのですが、口蓋部分の連結バーに違和感が強く、如何しても入れていられないと言う主訴で来院。
バネの付いた入れ歯は目立つだけで無く不安定で食べる事が出来ないという事なので、特殊なアタッチメントを使用した義歯を使用した設計で咬合再建を行いました。



装着前

装着後
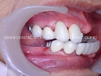
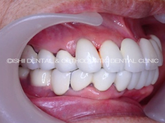
アタッチメント義歯は耐久性に優れ、目立つ入れ歯のバネが無いため審美的にも優れています。入れ歯のバネが気になる方にお勧めです。また安定感も良好で、しっかり食べ物が咀嚼出来ます。
部分入れ歯で全く噛むことが出来ないという主訴で来院した患者さんです。
なるべく目立たない入れ歯で良く噛める様にしたいという強い希望があり、アタッチメント義歯で全体的に咬合を再構築して咬合再建をしました。



装着前

装着後

装着前

装着後

装着前

装着後

装着前

装着後
奥歯のかみ合わせが安定し、下顎のずれも修正できました。
差し歯が大分汚れたので、綺麗に入れ替えたいという主訴で来院。
下の奥歯がく、このままでは安定した咬み合わせは確保できません。色々な入れ歯について説明したところ、バネや連結のバーがないアタッチメント義歯を希望されました。

上顎の古い補綴物は全て除去して,咬合再建のため上顎の全ての補綴物を入れ替えました。

装着前

装着後

アタッチメント義歯は、バネが見えないので審美性に優れ安定性も良好です。
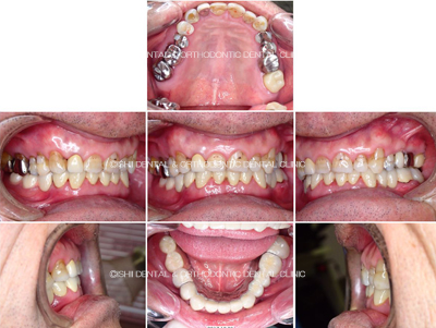
入れ歯がカタカタして、食事が出来ないという主訴で当院を来院。
上顎全体の補綴物を入れ替え、崩壊している咬合を再建後、安定が良く審美的にも優れたアタッチメント義歯を装着。

装着前

装着後
下の入れ歯のかみ合わせが悪く、食事ができないという主訴で来院。
下顎の補綴物を全て外し、崩壊した咬合を再建して、安定と強度に優れたアタッチメント義歯を装着。



咬み合わせが悪く、顎に痛みがあるという主訴で来院。
咬合が崩壊していたので、全ての補綴物を外して咬合再建しました。


