医療法人ピエタス 石井歯科矯正歯科医院

022-259-7377

矯正治療予約

ココロとカラダにやさしい治療

ココロとカラダにやさしい治療

当院の取り組み

  • マイナンバーカードのご利用について

    マイナンバーカードの
    ご利用について

  • カウンセリングルームのリニューアル

    カウンセリングルームの
    リニューアル

  • 空気汚染防止対策(口腔外バキューム※飛散防止)

    空気汚染防止対策
    (口腔外バキューム)

  • 空気汚染防止対策(空気清浄機)

    空気汚染防止対策
    (空気清浄機)

  • 抜歯しない痛みの少ない矯正歯科治療

    抜歯しない痛みの少ない矯正歯科治療

  • レントゲンのシステムをデジタル化

    レントゲンのシステムをデジタル化

  • 口臭外来の尿検査専用のカウンターを設置

    口臭外来の尿検査専用のカウンターを設置

  • 口臭無臭化のため<br />口臭専門外来開設

    口臭無臭化のため
    口臭専門外来開設

当院の矯正歯科治療の特徴

石井歯科矯正歯科医院は
「できるだけ歯を抜かない矯正歯科治療」を日々実践しています。

(1) 小児においては咬合育成および咬合誘導を行う事により、顎の成長発育を阻害するする要因を徹底的に排除し、正常な顎の成長発育を促す

(2) 成長発育が期待できない成人においては,歯を支えている歯槽骨の形態を修正することにより、口の筋肉のバランスを考慮した位置に歯を並べる

(3) 顎の関節の動き(顆路)に調和した咬合平面(上顎と下顎の奥歯の噛み合わせによりできる平面)と咬合高径(上顎と下顎の噛み合わせの高さ)を考慮した治療を行うことにより、上顎と下顎の審美的で機能的な位置関係を創り出す

以上3項目が「できるだけ歯を抜かない矯正歯科治療」を可能にしています。

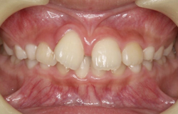
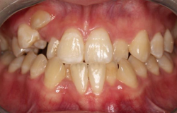
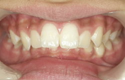
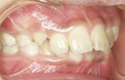
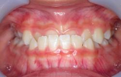
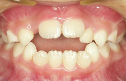
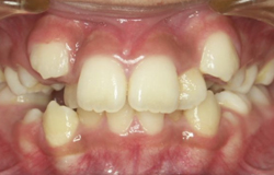
それでは論より証拠、早速当院で行なっている矯正治療の症例写真からご覧ください。

多くの症例を見ることにより、ご自身の歯並びが改善できる可能性を見いだしていただければ幸いです。

顎の関節の動き(顆路)に調和し、口の筋肉のバランスが取れている位置に配列された歯並びは機能的で美しいものです。

少しでも歯並びで悩んでいる人のお力になれれば幸いと存じます。

現在、当院ではほとんどの症例で歯列矯正治療は歯を抜くことなしに可能であり、治療に伴う痛みも最小限に抑えた外科的侵襲の少ない治療を実践しています。

審美的で機能的な歯並びを獲得し、
素晴らしい人生を踏み出しましょう。

症例集 ~あなたの歯並びはどれですか?~

ほんだ式口臭外来

Excellent Breath ALLIANCE CLINIC

当院は、ほんだ歯科の提携クリニックとして口臭外来を設け、口臭治療に取り組んでおります。口臭外来は基本的に、ほんだ歯科口臭外来と同じ手順で診断し、治療を進めていきますので、ほんだ歯科と同様な治療を受けることができます。
また、話題のプロバイオティクスがついに無臭の口臭を実現!
現在日本では、ほんだ歯科および提携クリニックのみで治療を受けることができます

最新情報
2025.12.24

年末年始のお知らせ

年末年始の休診日は、12月28日(日)~1月4日(日)までとさせて頂きます。

2023.02.05

診療日・受付時間変更のお知らせ

日曜日を休診日、受付時間を診療終了時間の1時間前までに変更いたしました。大変ご不便をお掛けしますが、何卒ご理解、ご了承いただきますようお願い申し上げます。

矯正治療予約

診療カレンダー

© ISHII DENTAL ORTHODONTIC CLINIC
All Rights Reserved.

【診療時間】月~土9時半~12時半(土13時半まで)・14時~19時(土17時まで)【休診】水・祝

PAGE TOP